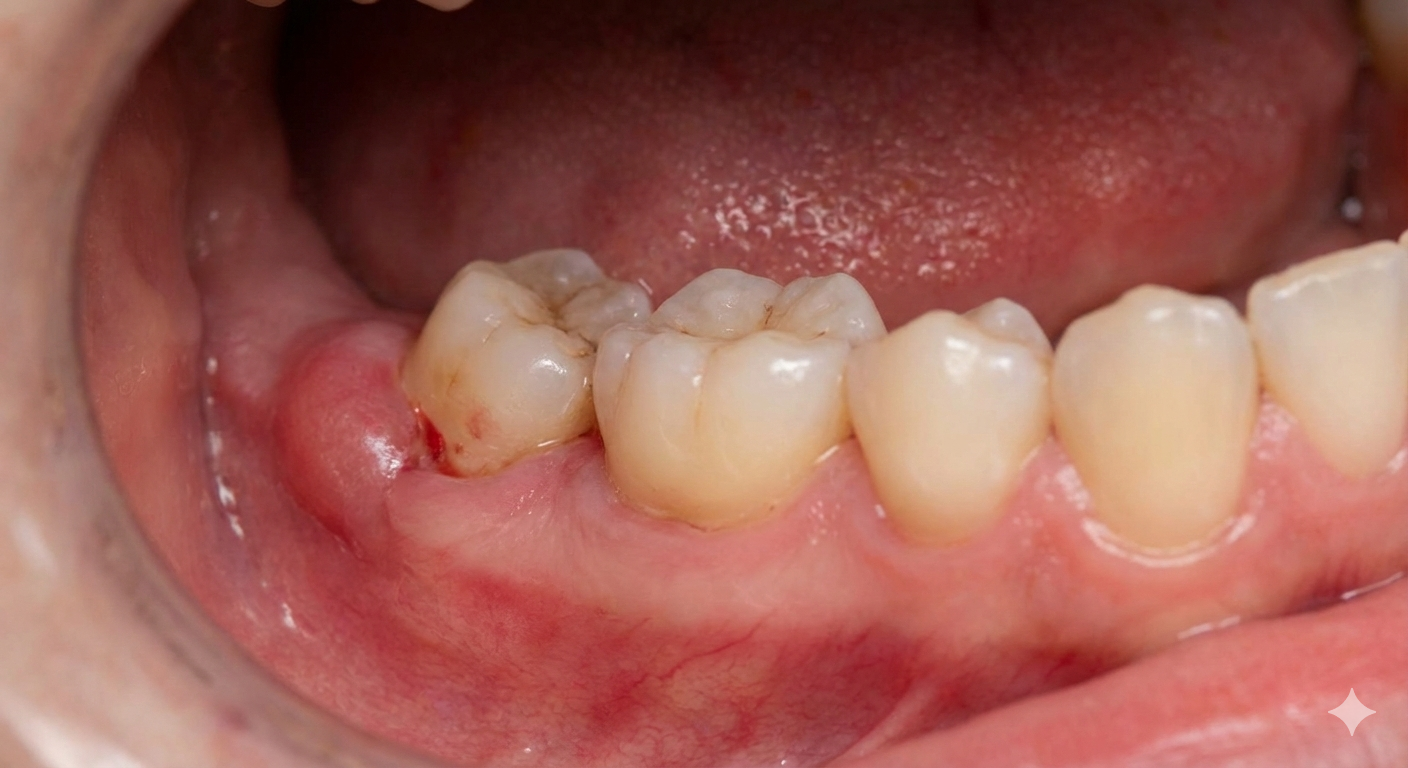
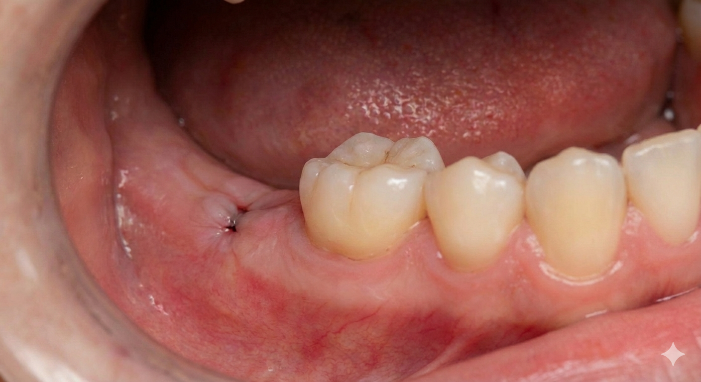
Minor Oral Surgery: Comprehensive Care for Your Dental Health
Minor Oral Surgery encompasses various treatments performed on the teeth, gums, and other oral tissues to address specific dental issues. These procedures are often recommended to treat conditions that cannot be effectively managed with routine care. At GK OOI Dental, our goal is to ensure that your experience is as comfortable and stress-free as possible.


FAQs
Minor Oral Surgery Solution
Certain dental issues require surgical intervention, and minor oral surgery provides targeted relief for a healthier, pain-free mouth.



